INICIO
COLECCIÓN BIOLÓGICA
Información
Consultar colección
ACERCA DE
Inicio
>
Colección biológica
>
Consultar colección
>
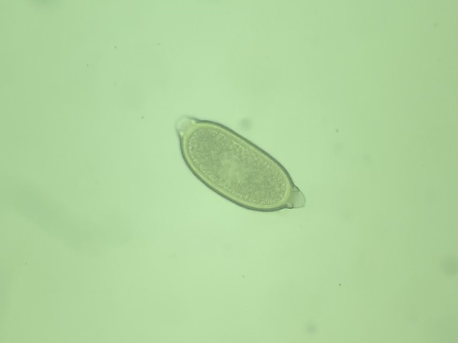
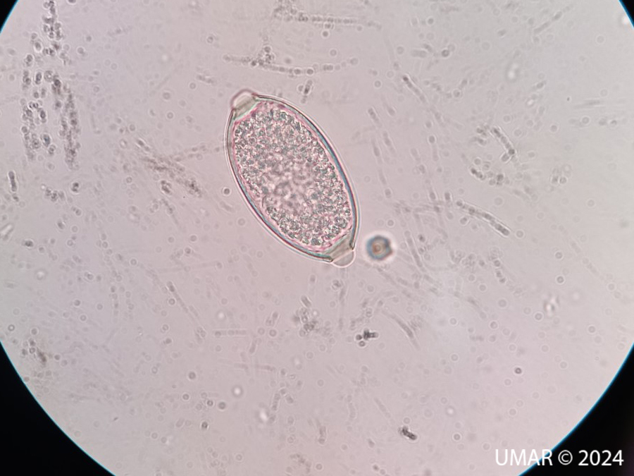
Vista 2 Nematodo gastrointestinal
Nematodo gastrointestinal
Previous
Next
Fuente: R Molnár, C Connor - Algunos derechos reservados (CC BY-NC 4.0)
Previous
Next
Fuente: UMAR©2024
Datos taxonómicos
Género:
Capillaria
Especie:
spp
Nombre común:
Nematodo gastrointestinal
Fuente: https://www.youtube.com/@cesarperezsalas3328